When Stephen came to visit us, he was super nervous. He wanted a nicer smile, but didn’t know where to start. That’s where our expertise came into play. We provided a full case assessment, with 2D x-rays, a CT scan, 3D teeth scanning with the Trios devise, photograph and study model analysis. We discussed Stephen’s…
Christ came to us after suffering an accident on his front teeth implants, which we originally placed some ten years prior. He had broken his teeth and crowns. He was lucky in the sense that we could salvage his existing implants, therefore saving him money and extra surgery. We provided a full case assessment…
A mini dental implant is an extra tiny screw which is inserted in the place of a missing tooth. It is made up of titanium so that the jawbone accepts it and allows it to become part of the human body. A prosthetic crown is attached on top of the mini implant so that it…
dental emergency at herts dental watford dentist The majority of us have suffered or will suffer from dental pain in our lifetime. Despite having my dental check up recently and getting the all clear from my dentist (yes, I do have a dentist!), a few weeks ago I suffered from severe toothache. The pain came…
BEFORE GUM TREATMENT AFTER GUM TREATMENT BEFORE GUM TREATMENT BEFORE GUM TREATMENT What is gum disease? The dental name for gum disease is “periodontal disease”. Essentially, the structures which hold a tooth in place (jaw bone and gum) are broken down and recede. This can result in tooth loss. It is caused by…
Hello! Thank you for visiting Herts Dental Implant & Sedation Centre. We are fully operational and seeing patients. We have stringent cross-infection control methods in place to protect our patients and we have got all our PPE! It was a big thing to reopen on June 8th 2020 and we, as a nation, are not out…
· IT IS STRONGLY RECOMMENDED THAT YOU ATTEND OUR CLINIC WEARING A MASK. OUR STAFF HAVE SPECIAL MASKS AND WE ARE UNABLE TO PROVIDE MASKS FOR OUR PATIENTS. CORONAVIRUS: Due to social distancing and strict infection control measures, our clinic is operating at a QUARTER of its capacity. For this reason,…
FOR ALL APPOINTMENTS: Please confirm that in the last 14 days prior to your scheduled appointment: · You have not had symptoms of a cough, cold, flu, loss of taste, or any other symptoms of coronavirus or a confirmed diagnosis of coronavirus · You have not been in contact with a suspected individual with suspected/confirmed…
Dear Patient, In view of the recent corona virus situation, we have today (23/03/20) been advised by our health bodies to discontinue routine dental care until the situation stabilises. It is only advised to visit a dentist if you have a severe toothache or a swelling/infection which cannot be relived by pain killers. If you…
Same day dental implants in Hertfordshire Please note, prices are subject to change. An accurate estimate can only be given at the time of your assessment. What is it? Same day dental implants are good if you have failing teeth which need to be removed. All your bad teeth are removed gently, under local anaesthetic…
Do you need emergency dental treatment? Do you live in Hertfordshire? Has the pain kept you awake at night? If so, you may need emergency root canal treatment!
Why is my dentist referring me for sedation? Herts Dental accepts referrals from local dentists to treat their anxious patients. Dentists recognise the need for their patients to receive the care they deserve. Sometimes, through no fault of the patient, they become apprehensive when visiting the dentist and anxious when certain treatments are carried out.…
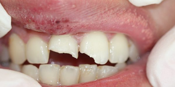
It is important to see a dentist if you have suffered an injury to your lips or teeth. If you unfortunately suffer an injury to your teeth, try and keep the teeth fragments and take them with you to an emergency dentist. You may or may not have any pain. If you have swelling, you…
We use cookies to ensure that we give you the best experience on our website. If you continue to use this site we will assume that you are happy with it.